TRIGGER FINGER IN ONE YEAR OLD
This is a very scarce condition. Usually the thumb is involved. Most of these cases resolve spontaneously, but if after six months it has not, it can be released as in a patient I have helped recently.
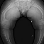
BURNT OUT RICKETS
Rickets is a disease of childhood characterized by deformities of the skeleton. It is usually the result of a vitamin D deficiency. Less commonly, it is seen as a result of a phosphate metabolic abnormality. One would not expect vitamin D deficiency in a sunny country like South Africa, but with the change of lifestyle it does become more prevalent.
These are the pre- and post-op XRs of a two-year-old with burnt out vitamin D deficient rickets.
HYPOPHOSPHAMETMIC RICKETS
This type of rickets is not vitamin D deficient, but has a primary problem associated with absorption of phosphate. Deformity correction is done after the primary metabolic problem has been addressed. These patients are managed in close association with a pediatrician.
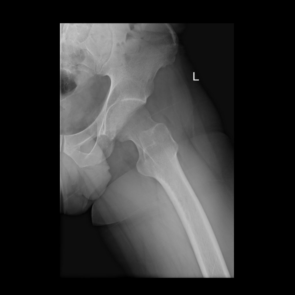
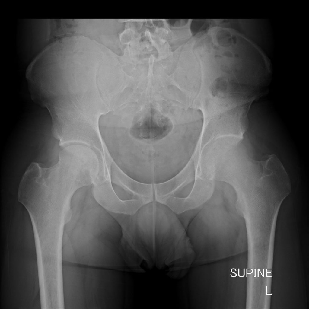
TRANSIENT OSTEOPOROSIS OF THE HIP
This is a curious condition without obvious etiology. It is characterized by loss of bone density in one of the hips of the affected person. It is usually found in middle aged men and sometimes in pregnant women. The condition usually clears up within a few months. It can be painful if the bone is under strain therefor, treatment consists of partial weight bearing to alleviate pain.


MI
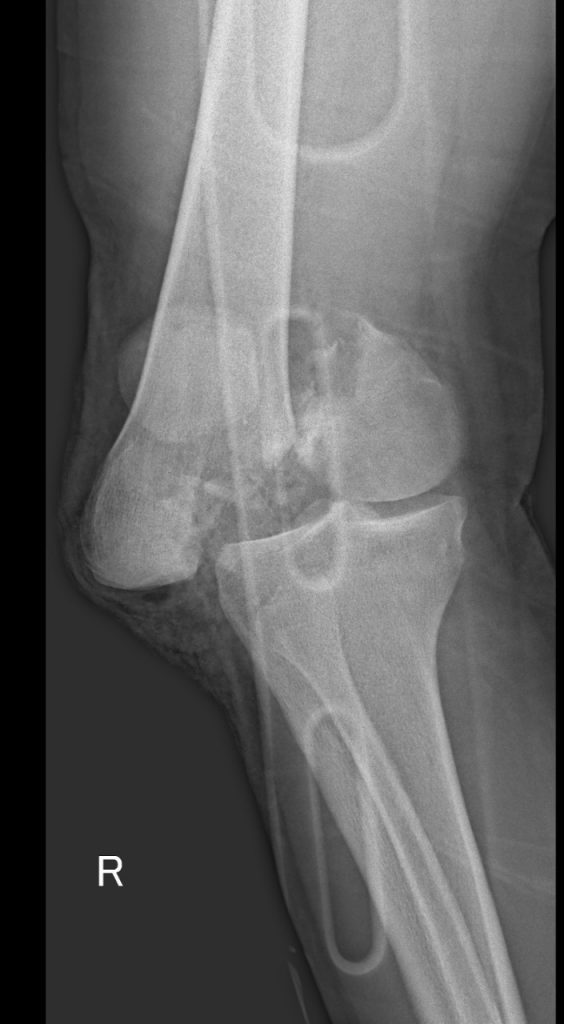
MULTITRAUMA AFTER MOTOR VEHICLE ACCIDENTS
Unfortunately I often see broken bodies after motor vehicle accidents. The injuries sustained are often lifechanging and though the science of orthopedics is advanced, not everything can be repaired to perfection.
Avoiding driving at night and after a drink seem to be the best ways to avoid accidents. Accidents are also more prone to happen on wet roads.
Shown here are the x-rays of a young patient who drove at night after taking a few drinks. The fractures are all open and this will be a life changing event for him.
SHOULDER ARTHRODESIS
Operatively stiffening the shoulder is a very rare operation these days. It is done as a last resort to allow a stable foundation for the arm to function from. Though the motion between the upper arm and the shoulder blade is removed, the shoulder blade can still move quite a bit on the chest wall.
The following is a patient with an unstable replacement and an injury to his axillary nerve due to an unfortunate previous surgery. The condition is not amenable to another solution as the front part of the Deltoid muscle is no longer functional. An arthrodesis gives him a stable platform and a painless joint.
MULTIFOCAL OSTEONECROSIS
This is a condition characterized by widespread necrosis (dying) of the bone marrow in multiple bones. It is mostly caused by steroid use, but disorders of blood clotting, renal failure, auto immune disease, multiple sclerosis and HIV can all cause the condition. Treatment is aimed at the underlying cause and focal management of orthopaedic problems. Below are pictures of one of my patients with typical manifestations of the condition. His only risk factor seemed to be daily descent of 2.9 km into the mine using a very fast cage system.
His only symptom was knee pain. This was due to collapse of the bone deep into the cartilage. I implemented treatment of a total knee replacement using long stemmed implants to achieve stability in the necrotic bone.

CORACOID FRACTURE
Very interesting patient seen today with a fracture of the coracoid after a fall. The coracoid is the origin of part of the biceps muscle. The fragment was displaced distally because of traction of the biceps. He had some nerve irritation initially, but this cleared. Though surgery is advocated by many he and I decided to manage it non-operatively as he is elderly and Covid-19 is a concern now. Look at this impressive picture below
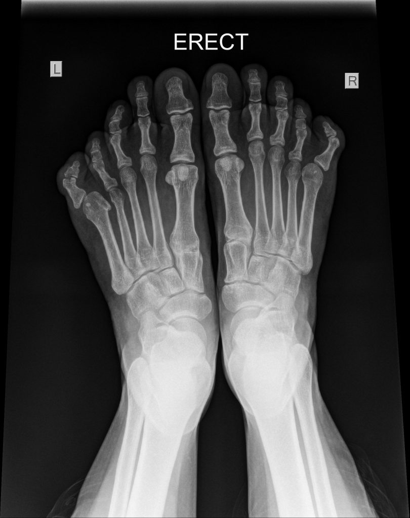
ENLARGEMENT OF THE FIFTH METATARSAL
I recently had the privilege of seeing a patient with an interesting enlargement of the fifth metatarsals of both feet. The problem was not so much pain as difficulty with shoewear.
I elected to shorten the metatarsals and stiffen the proximal joint of the little toes so the form of the foot could approach normality.











